AI for Medical Devices and Robotics

Real-Time AI Tools for Medical Device Development

NVIDIA Holoscan

Build Real-Time AI Applications at the Clinical Edge

NVIDIA Holoscan is a versatile edge AI computing platform for real-time processing of streaming medical device data. 

Medical device and AI application developers building medical device computing systems for platforms and sensor frontends can use Holoscan to build real-time AI at the clinical edge. 

The platform provides an accelerated, full-stack infrastructure that enables real-time sensor data integration and processing with—and development resources of—medical solutions for the clinical edge.

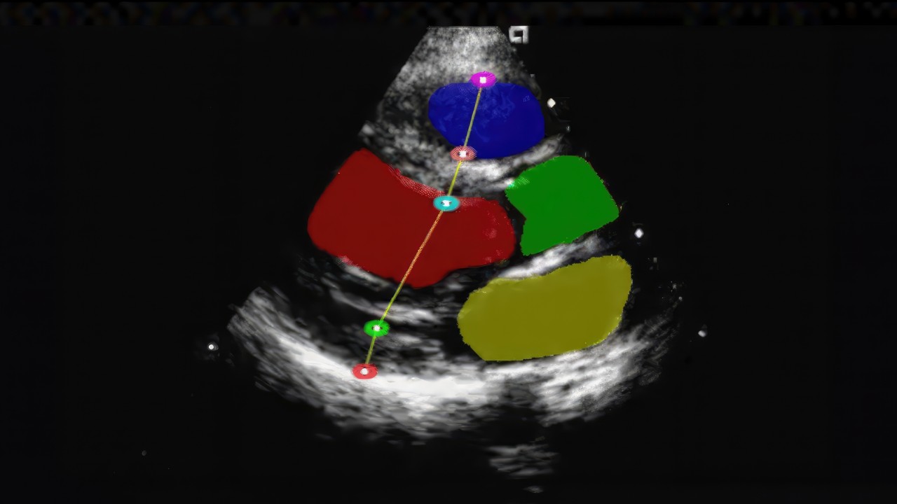
NVIDIA Holoscan Reference Applications

Speed Up AI Development in Healthcare

NVIDIA Holoscan Reference Applications and operators provide ready-to-use, customizable examples and components for building real-time, AI-enhanced sensor processing applications. 

Medical device and AI developers looking to accelerate their development can use Holoscan Reference Applications to quickly build and deploy solutions across medical imaging, sensor processing, and edge computing. 

Holoscan reference applications significantly reduce development time and complexity, leveraging diverse contributions from both NVIDIA and its partner ecosystem to bring a diverse collection of workflows and operators to its open repository.

NVIDIA Isaac for Healthcare

Accelerate AI Robotic Development for Healthcare

NVIDIA Isaac™ for Healthcare is an AI robotic development platform domain-specialized for healthcare. 

Developers and researchers building AI robotic and automation systems need a unified, domain-specific framework to take their medical innovations from training, to simulation, to real-world deployment. 

Isaac for Healthcare provides developers and researchers with AI models, simulation frameworks, and accelerated runtime libraries that allow them to  train, test, validate, and deploy intelligent healthcare robotic and automation systems.

Additional Technologies

NVIDIA MONAI

NVIDIA MONAI is a comprehensive suite of enterprise-grade containers, AI models, and cloud APIs crafted to accelerate medical imaging workflows. Anchored on the open-source Project MONAI, it provides developers with secure, NVIDIA-supported, state-of-the-art, and domain-specific AI workflows.

NVIDIA IGX

Purpose-built for industrial and medical environments, NVIDIA IGX™ delivers industry-leading performance, security, and functional safety, and has a 10-year lifecycle and support.

NVIDIA AI Enterprise

NVIDIA AI Enterprise is an end-to-end, cloud-native software platform that accelerates data science pipelines and streamlines the development and deployment of production-grade co-pilots and other generative AI applications.

Get Started

Documentation

Find a collection of documents, guides, manuals, how-tos, and other informational resources in the NVIDIA Holoscan Documentation Hub.

Platform Updates

Get notified of new releases, bug fixes, critical security updates, and more for medical imaging.

Contact Us

Got questions? Our healthcare experts are here to assist you!